¿Qué es la gingivitis?
Gingivitis - una inflamación de las encías - es la etapa inicial de la enfermedad de las encías y la más fácil de tratar. La causa directa de la gingivitis es la placa: una película suave, pegajosa y sin color formada por bacterias que se deposita constantemente sobre los dientes y encías.
Si el cepillado y el uso diario del hilo dental no eliminan la placa, la misma produce toxinas (venenos) que irritan el tejido gingival, causando gingivitis. En esta primera etapa de la enfermedad, el daño puede revertirse, ya que el hueso y el tejido conectivo que sostienen los dientes en su lugar todavía no han sido afectados. Sin embargo, si se deja sin tratamiento, la gingivitis puede transformarse en periodontitis y provocar daños permanentes a sus dientes y mandíbula.
¿Cómo sé si tengo gingivitis?
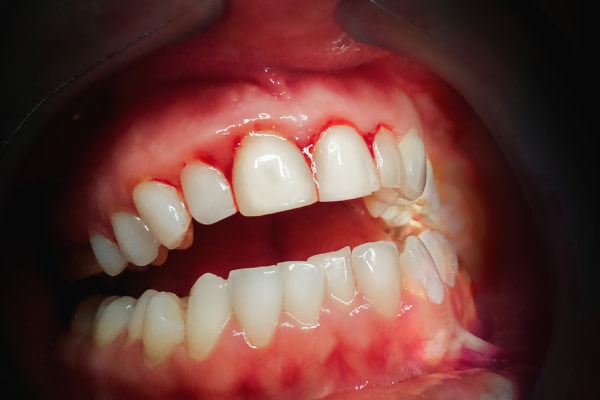
Los signos y síntomas clásicos de la gingivitis son las encías rojas, hinchadas y sensibles que pueden sangrar cuando se cepillan. Otro signo de enfermedad en las encías es que las mismas han retrocedido o retirado de los dientes, confiriéndole a sus dientes una apariencia alargada. La enfermedad de las encías puede provocar la formación de bolsas entre dientes y encías donde se junta placa bacteriana y restos de comidas. Algunas personas pueden experimentar mal aliento o mal gusto recurrentes aún cuando la enfermedad no esté avanzada.
¿Cómo puedo prevenir la gingivitis?
La correcta higiene bucal es fundamental. Las limpiezas profesionales también son extremadamente importantes pues una vez que la placa se endurece y acumula, o se transforma en sarro, sólo un odontólogo o higienista podrá eliminarla.
Usted puede ayudar a detener la gingivitis antes de que se desarrolle de la siguiente manera:
- Cepillado correcto y uso apropiado del hilo dental para eliminar la placa, los restos de alimentos y controlar la acumulación de sarro
- Alimentación correcta para asegurar la adecuada nutrición de su mandíbula y dientes
- Evitar cigarrillos y otras formas de tabaco
- Programar controles regulares con su odontólogo


