¿Qué es el Sarro?
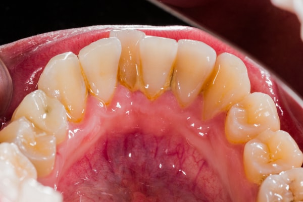
El sarro, a veces denominado cálculo o tártaro dental, es la placa bacteriana que se ha endurecido sobre sus dientes debido al depósito de minerales sobre la placa bacteriana. También se puede formar en el borde de las encías y debajo de ellas y puede irritar los tejidos gingivales. El sarro proporciona a la placa una superficie más extensa donde crecer y más pegajosa donde adherirse, lo cual deriva en afecciones más graves como caries y enfermedades de las encías.
El sarro no sólo amenaza la salud de sus dientes y encías, sino que también constituye un problema estético. Como es más poroso, absorbe las manchas con facilidad. Por lo tanto si usted toma café o té, o fuma, es de especial importancia que evite la formación de sarro.
¿Cómo sé si tengo sarro?
A diferencia de la placa que es una película incolora, el sarro es una formación de minerales fácilmente visible si se localiza por encima de la línea de las encías. El indicador de sarro más común es observar un color marrón o amarillento en los dientes o encías. El único modo cierto de detectar la presencia de sarro y de retirarlo es acudir a su dentista.
¿Cómo prevenir la formación de sarro?
Para reducir la formación de sarro y reducir la placa es importante cepillarse correctamente, especialmente con una pasta de dientes para control de sarro, y utilizar hilo dental.
Una vez que el sarro se ha depositado en sus dientes, sólo su dentista o higienista podrán retirarlo. El proceso para retirar el sarro se denomina "raspado radicular". Durante este procedimiento, el dentista o higienista utilizan instrumentos especiales con los que retiran el sarro que se encuentra a la vista sobre los dientes y el que se halla debajo de la línea de las encías.
![]() |
![]() |
| El sarro constituye una amenaza para la buena salud oral y es antiestético para su sonrisa | Una vez que se forma el sarro, sólamente una limpieza profesional prodrá removerlo |




